Prevención, diagnóstico y tratamiento del sistema musculoesquelético
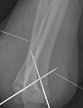
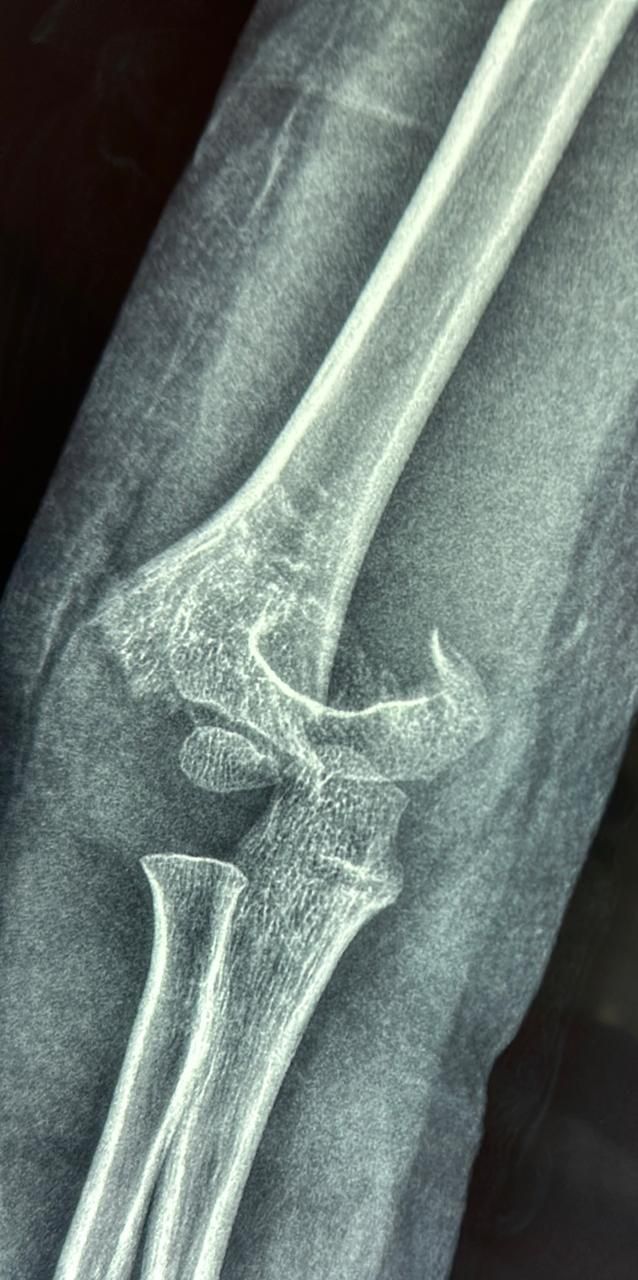
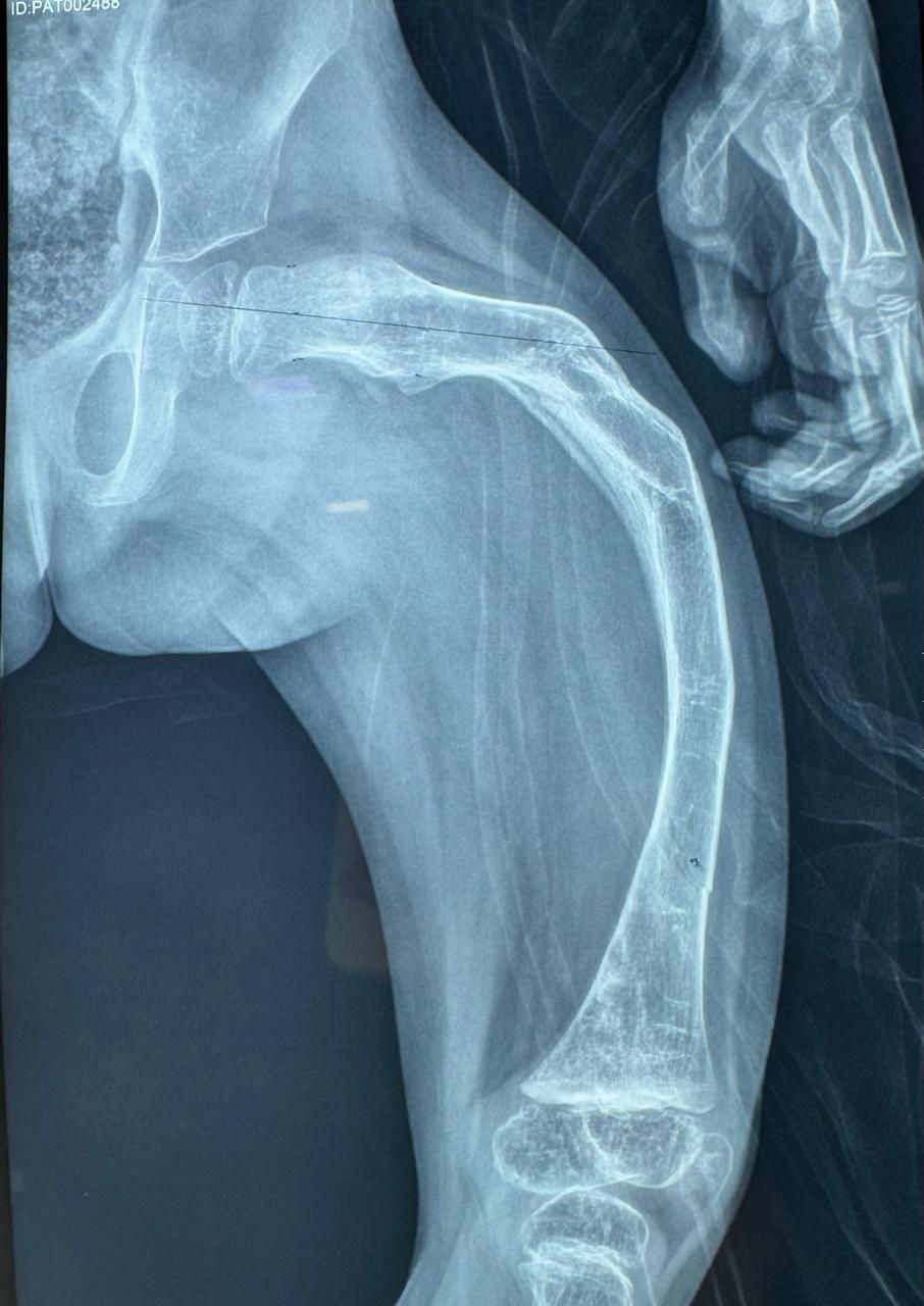
La ortopedia se enfoca en las enfermedades y alteraciones del sistema músculo-esquelético, tanto en adultos como en pacientes jóvenes. El Dr. Juan Carlos Torres Archila, especialista en ortopedia en Comitán, Chiapas, ofrece atención integral y personalizada para afecciones crónicas, degenerativas o congénitas que afectan huesos, articulaciones, músculos, tendones y ligamentos.
Con más de 15 años de trayectoria clínica y quirúrgica, el Dr. Torres Archila está certificado por el Consejo Mexicano de Ortopedia, brindando atención ética y profesional en cada consulta.
Afecciones ortopédicas que atendemos, entre otras:
Cada caso es valorado a profundidad para proponer tratamientos conservadores (rehabilitación, ejercicios, ortesis) o procedimientos quirúrgicos cuando son necesarios, como artroplastías (colocación de prótesis articulares) o cirugías mínimamente invasivas como la artroscopía.
Atención centrada en la movilidad y calidad de vida
Nuestro objetivo es preservar o mejorar la movilidad, aliviar el dolor y prevenir el avance de condiciones ortopédicas. El Dr. Torres Archila emplea métodos actualizados basados en evidencia médica y enfocados en las necesidades individuales de cada paciente.
















