Recuperación efectiva para deportistas y personas activas
Las lesiones deportivas afectan tanto a atletas profesionales como a personas que practican actividad física ocasionalmente. En el consultorio del Dr. Juan Carlos Torres Archila, especialista en traumatología y ortopedia en Comitán, Chiapas, brindamos atención médica precisa y oportuna para una recuperación rápida, funcional y segura.
Con más de 15 años de experiencia, el Dr. Torres Archila atiende todo tipo de lesiones relacionadas con el ejercicio, desde torceduras y contracturas hasta rupturas de ligamentos o fracturas por sobreúso.

Tratamos todo tipo de lesiones deportivas
Entre las afecciones más comunes que se atienden están:
- Esguinces de tobillo y rodilla
- Lesiones de ligamentos cruzados y meniscos
- Tendinitis (codo, hombro, rodilla, talón)
- Desgarros musculares
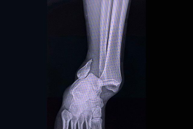
- Fracturas por estrés o impacto
- Luxaciones articulares
- Bursitis y sobrecarga articular
Se realiza un abordaje integral que incluye diagnóstico clínico y por imagen (rayos X, ultrasonido, resonancia), plan terapéutico individualizado y asesoría para el retorno seguro al deporte.
Enfoque profesional con visión deportiva
El objetivo del tratamiento es recuperar la movilidad, aliviar el dolor, prevenir recaídas y reinsertar al paciente en su actividad deportiva con seguridad. Utilizamos técnicas de vanguardia y protocolos de rehabilitación respaldados por evidencia científica.
Cuando se requiere, el Dr. Torres Archila realiza intervenciones quirúrgicas mínimamente invasivas (como artroscopías) para reparar estructuras dañadas sin afectar tejidos sanos.
¿Por qué tratar una lesión deportiva con un traumatólogo ortopedista?
Porque una atención inadecuada puede provocar secuelas crónicas o recaídas que impiden volver al deporte con confianza. El Dr. Torres Archila evalúa el historial físico-deportivo del paciente para ofrecer un tratamiento integral y eficaz.
¿Sabías que muchas lesiones deportivas mal atendidas generan desgaste prematuro en las articulaciones?
Acudir con un especialista certificado marca la diferencia entre una recuperación completa y una recaída persistente.
Agenda tu consulta en Chiapas con el Dr. Juan Carlos Torres Archila y recupérate con un enfoque profesional, humano y especializado en salud deportiva.




